2026年 03月 13日
星期五
   | 氣 溫 : 18 度
搜尋新聞
簡体中文
即時新聞 視頻新聞 要聞港聞 社 評國際兩岸 財 經 娛 樂 體 育 馬 經 副 刊 昔 日

陳淑莊腦生瘤 何俊賢涼薄嘲諷網民炮轟
發佈日期 : 2019-04-25

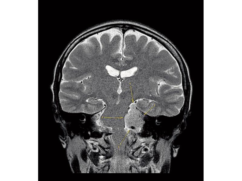
陳淑莊在社交網站上載兩張腦部磁力共振的圖片,顯示
何俊賢在社交網不點名批評陳淑莊面對判刑時,便稱患
陳淑莊在社交網站上載兩張腦部磁力共振的圖片,顯示
何俊賢在社交網不點名批評陳淑莊面對判刑時,便稱患

【本報港聞部報道】因患病獲法庭同意押後判刑的立法會議員陳淑莊稱,上星期確診左腦內有一個直徑4.2厘米的腦膜瘤,體積儼如一個乒乓球,未知是良性抑或是惡性,醫生建議她必須要在兩星期內接受手術,否則有生命危險,會向立法會告假,以及減少公開活動。不過,民建聯立法會議員何俊賢隨即在社文網發帖冷嘲熱諷,不點名批評對方面對判刑時,便稱患上絕症。但其言論惹來逾萬名網民炮轟,何至昨晚表示只是有感而發,若有人「聽了不舒服」,他「也只能說聲不好意思了」。


待開腦後方知良性惡性


陳淑莊在社交網站上載兩張腦部磁力共振的圖片,顯示腦膜瘤令到腦幹彎曲。她透露為了準備接受刑責,本月4日在一間私家醫院接受身體檢查,上星期三取得報告,指她腦內「有此東西」。在復活節假期前接受磁力共振掃瞄,確診腦內有腦膜瘤。公民黨黨友余若薇的丈夫、腦科醫生胡健維考慮到她持續出現不同程度的病徵,包括頭暈及面部麻痹等,故建議必須盡快接受手術。她稱要待開腦後才知道腫瘤是良性還是惡性,之後有機會要接受放射治療。


雖然確診腦膜瘤,但她形容自己這刻充滿力量,叫大家不用擔心,會盡一切力量醫好疾病,繼續爭取民主的道路。除申請押後判刑外,她也會向立法會主席告假,減少公開活動,爭取時間治療和休養。公民黨立法會議員譚文豪及專業議政的莫乃光,均在社交網分享陳淑莊解釋病情的帖文,分別留言「盡快康復,等你回來」。


不過,何俊賢獲悉陳淑莊病情後,在個人facebook專頁發帖,直指「一到『找數』,個個都身患絕症。你玩晒啦」,何的言論隨即惹來不少網民抨擊,至昨日傍晚,何再發帖對言論表示「不好意思了,我表達能力不夠好」。而工聯會會長吳秋北亦在社交網發文諷刺地稱,「疾病跟判決無關,罪犯又和官老爺在玩弄程序……」


民建聯主席李慧琼指出,79天佔領運動影響很多人,甚至造成實際經濟損失,相信不同人會有不同感受的評論,這是在所難免,她拒絕正面回應何俊賢言論,僅稱「相信是一個感受」。

首頁